Medical Expert Witness Blog
Get practical medical-legal insight from physicians who do this work every day. We break down real issues, share expert guidance, and give you the clarity you need to navigate complex cases.
- All
- Case of the Week
- Clinical Insights
- Expert Practice
High Blood Pressure – So what?
July 29, 2025
Complications related to untreated high blood pressure are a very common reason people seek out an attorney for potential medical malpractice. The general public understands ...
Read More →
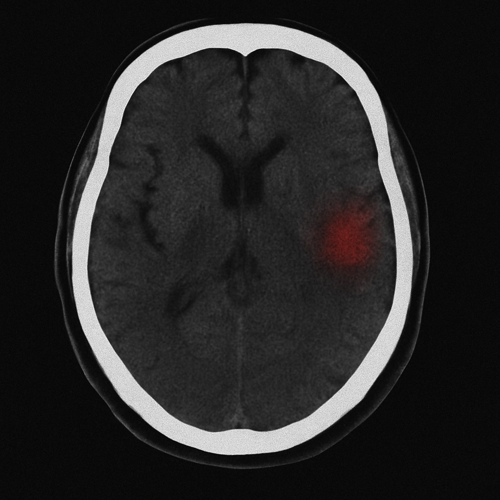
Missed Stroke Diagnosis – When is is malpractice?
July 29, 2025
Failure to diagnose stroke is one of the most common cases our attorneys bring to us for pre-litigation analysis. The vast majority of these cases ...
Read More →
Missed Cancer Diagnosis
July 28, 2025
High risk patients are encouraged to get low dose CT scans of their chest each year for early detection of lung cancer. They anxiously await ...
Read More →
Want more cases? Minimize friction.
July 26, 2025
Most expert witnesses are looking to get retained in more cases. Sure, there are a few prolific experts with more work than they can handle… ...
Read More →
Setting Up Your Expert Witness Business
July 23, 2025
An expert witness practice is a business, and it should be treated as one. Sure, if you are only going to do 1 or 2 ...
Read More →
Failure to Recognize Medication Allergy
July 21, 2025
While administering medications to people who are allergic is much less common than it used to be, these medical errors still occur with some frequency. ...
Read More →





